有限会社ザクシス

三次元画像とメカトロニクス―研究開発のプランニングから設計・製作までをお手伝い

〒221-0834 横浜市神奈川区台町11-20-701  

info@z-axis.co.jp

代表者のプロフィール

1.代表取締役 岩原 誠


1970年(昭和45年 )
「走査式Integral Photography」を提案、卒業研究で実現
1971年(昭和46年) 
5月写真学会にて発表
1981年(昭和56年)11月
日本科学技術振興財団主催 迷路脱出ロボットコンテスト(第2回マイクロキャット)で優勝
1993年(平成 5年) 7月
三次元プロッタ開発:世界初の仮想データIP 表示(日本ビクター)
1994年(平成 6年) 4月
内蔵三次元像と人体の合成観察に成功(日本ビクター)
1997年(平成 9年)11月
日経サイエンス主催 コンピュータ・ビジュアリゼーション・コンテストで「Volumegraph」(日本ビクター、東京大学、東京女子医科大学の共同研究)が「ニューフロンティア特別賞」受賞
2000年(平成12年) 7月
ハノーファー・メッセ 日本 NEDO ブースにて「マルチプロジェクタを用いた動画IP "Integral Videography" 」(東京大学)を展示
2003年(平成15年) 7月
三次元画像コンファレンス で、「マルチプロジェクタを用いた"Integral Videography"」(東京大学)が「2002年度優秀発表賞」受賞



2.特 許

出願:約250件(含連名)  内 公告:約130件



3."Integral Photograpy"

Principle of Integral Photography
   ・裸眼観察可能(3Dメガネ不要)
   ・空中に無歪の三次元実像を表示
   ・上下の視差も再現(レンチキュラーは左右のみ)
   ・複数人同時観察可能

  
・フルカラー動画表示可能



4.過去の研究

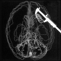
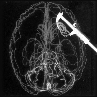
1. 三次元プロッタによる三次元画像表示
   
 三次元プロッタ原理図 三次元プロッタによる画像 
従来、実写でしか作れなかった“Integral Photography” で、
世界初の画像データに基づく三次元画像表示に成功(日本ビクター)

寸法の正確な無歪の三次元像なので、空中の三次元像にノギスを当てて計測が可能 

2. 三次元画像と人体の合成観察
     
三次元画像と人体の合成観察:透視能力を持った感覚で観察(日本ビクター)  
 左:原理説明図  中:観察の様子  右:観察される画像

3. マルチプロジェクタ
   
 マルチプロジェクタIVの研究・開発
(東京大学)
 同装置を ドイツ ハノーファー・メッセ
 [心臓の三次元動画] 日本 NEDOブースにて展示 

4. 長視距離IP
   
 長視距離IPの研究・開発
(東京大学)

 大型長視距離IPの研究・開発
(東京大学)

 [Aの文字は1m飛び出して見える] [黄色い棒は2m飛び出して見える]